|
|
|
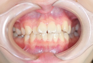
術前
|
術後
|
|
|
|
術前
|
術後
|
|
|
|
術前
|
術後
|


|
|
|
|
|
|
|
|
診療時間
|
月
|
火
|
水
|
木
|
金
|
土
|
日祝
|
|
10:00 - 13:00
|
●
|
●
|
●
|
●
|
●
|
●
|
/
|
|
15:00 - 21:00
|
●
|
●
|
●
|
●
|
●
|
●
|
/
|